
今までも何度か同じような頭痛を繰り返している場合は、慢性頭痛の可能性があります。頭痛がだんだんと悪化してくるような場合には脳腫瘍や慢性硬膜下血腫などのケースもありますので、受診をおすすめします。慢性頭痛には片頭痛、緊張型頭痛、群発頭痛などがあります。
一番重要なのは画像検査ではなく的確な問診と神経学的診察です。これは私の師匠が普段から後輩たちに話している事です。必要時に頭部MRI/CTが必要です。
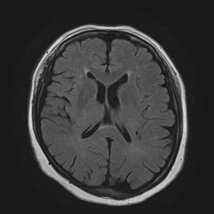
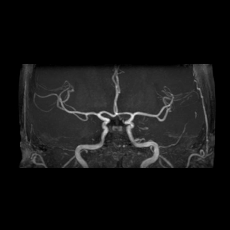
MRI:正常な脳の画像と脳の血管
難治性の慢性頭痛については、最近では内服薬、点鼻、注射など様々な種類の薬が選択できます。患者さんによって最適な治療法を探し、生活の質への悪影響を最小限にいたします。
★最近では新しい「注射製剤」で頭痛頻度が劇的に減るようになりました。
詳細はお問い合わせください。

〒146-0092
東京都大田区下丸子2-13-4
03-5741-3717
| 診療時間 | 月 | 火 | 水 | 木 | 金 | 土 | 日・祝 |
|---|---|---|---|---|---|---|---|
| 9:00~12:30 | ― | ― | |||||
| 14:30~18:00 | ― | ― |
:土曜は14:30~16:30
休診日:木曜日、日曜日、祝日 訪問診療も適宜相談受付